
黃體期長方案是控制性超促排卵的一種方案,在月經週期18-21天開始執行方案,常規皮下注射促性腺激素釋放激素激動劑10-14天,即開始垂體降調節。月經來潮的第2-5天覆診,合適的時機開始使用促性腺激素啟動,促性腺激素促排卵一般10天左右,當天晚上實施人絨毛膜促性腺激素注射扳機,為36-38小時後的取卵手術做準備,取卵術後3-5天實施胚胎移植手術。

詳解黃體期促排方案四點要求,竇卵泡數量低於8個要慎用
黃體期促排方案是一種常見的促排卵方案,也是一種新型的促排卵方案,就是在黃體期的時候就使用促進卵巢內卵泡發育和成熟藥物,也就是促排卵藥物,一般醫生會根據患者實際情況,通過服用促排卵藥物來促進卵泡發育和成熟而促進排卵的一種治療方法。由於其二次取卵的時間是在女性月經週期的黃體期,因此叫做黃體期方案。 黃體期促排方案的要求 黃體期促排方案擁有非常明顯的優勢,但是很多時候事情是兩面性的,有好的也有壞的,所以...

林家小妹
10-30
黃體期方案流程及步驟解析,這四步是必須經歷的!
臨床上常見的方案包括長方案、短方案、超長方案、拮抗劑方案、微刺激方案和黃體期排卵誘導方案。黃體期促排卵方案為卵巢反應低、卵巢儲備減少的患者提供了另一種補充方案,週期時間靈活多變。但是,目前國內外對該協議的使用還沒有大規模的資料支援,需要積累更多的經驗。同時,黃體期促排卵方案需要在獲得卵子形成胚胎後冷凍整個胚胎,冷凍胚胎復甦在月經後進行。 試管黃體期促排卵方案介紹 黃體期促排卵是在黃體期促進卵泡發育...

趙小米
10-30
試管黃體期方案進週期時間說明,排沒排卵才是其中的重點
黃體期方案是一種試管促排卵方案,成功率比較高。主要適用於基礎卵泡過少,卵巢功能低下的患者。黃體期方案是IVF治療中常用的促排卵方案。有些黃體期患者促排卵後也可以取卵,可以大大提高試管成功率。 黃體期程式週期時間 一般來說,黃體期方案的入周時間是根據女性卵泡的生長和排卵來確定的。當確認前一個月經期已經排卵,然後正式進入一週,黃體期促排卵方案是一種常見的促排卵方案,主要是指女性卵子在卵泡期排出後,卵巢...

三三來了
10-30
詳解拮抗劑和黃體期方案的區別,卵泡質量好不好看這裡
黃體期方案也被稱為長方案,長計劃和拮抗劑計劃沒有更好的說法,每個患者試管排卵計劃,是醫生評估年齡、激素水平、基本卵泡數量等,因此,沒有計劃是好或壞,適合自己是好的。 拮抗劑和黃體期方案如何 常用的超促排卵方案包括長方案、短方案、超長方案和拮抗劑方案。在實踐中,醫生會根據患者的具體情況進行適當的調整,如藥物的種類和劑量,以實現治療方案的個性化。拮抗劑和黃體期方案的區別如下: 1、適合人群:黃體期方案...

鷸蚌相爭
10-30
黃體期方案促排卵泡質量怎麼樣?做好這四點是關鍵
黃體期促排就是在黃體期時使用促進卵巢內卵泡發育和成熟藥物,促進卵泡發育和成熟而促進排卵的一種治療方法,黃體期促排卵可以幫助試管中的女性在卵泡期和黃體期獲得兩個卵子,這無疑會增加獲得卵子的機會,但並非所有女性的卵母細胞質量都特別好,主要取決於女性的身體狀況,卵子質量的好壞與卵子的大小、形狀、女性的年齡,以及是否使用過提高卵子質量的藥物等有一定的關係。 黃體期促排卵泡質量好不好 誘導黃體期排卵後取卵質...

猴皮筋
10-30
黃體期方案有哪些優點和缺點,一文告訴你黃體期促排卵的優勢
黃體期促排卵方案主要用於卵巢不能正常排卵而導致不孕不育症患者的治療,可以降低卵巢過度刺激綜合徵,改善卵子數量,但是黃體期過度促排,容易刺激卵巢組織,引起腹瀉,導致腹部疼痛,病重較重者會因此出現胸口發悶、呼吸困難等症狀,且會容易誘發婦科腫瘤,包括子宮肌瘤、子宮內膜瘤,體重會不斷增加,形成肥胖,引起水鈉瀦留,建議根據醫生建議選擇合適的促排方案。 黃體期促排卵方案利弊 黃體期促排卵是近年來開始嘗試的一種...

未見面就說再見
10-29
詳解試管嬰兒黃體期方案適用人群,到底誰能用答案看這裡!
黃體期長方案主要適合卵巢功能較差,並且卵泡數量較少,滿足不了一次移植數量的患者,還可以用於自然週期過程中,優勢卵泡從女性體內取出來的時候,卵巢內還有一些小卵泡的患者,並且子宮腺肌症、子宮內膜異位症患者也是可以使用的,而且其促排卵效果是比較理想的,建議在選擇方案的時候一定要遵醫囑,根據自己的實際情況選擇適合自己的方案。 試管黃體期是什麼方案, 試管方案是需要根據患者的身體狀況來選擇的,如果是正準備進...

小巴辣子
10-29
試管嬰兒黃體期方案解析,附具體時間及促排卵子質量說明
黃體期促排方案在臨床上的應用比如長方案、短方案那麼廣,但仍然具體其意義,許多女性在第一次接觸到此方案時難免會心生懷疑,為了讓大家有一個系統的瞭解,本文就從黃體期方案的流程、取卵質量、取卵時間等方面進行講解。 什麼是黃體期促排方案 簡而言之黃體期促排方案就是在女性黃體期使用促排藥物使卵巢中的小卵泡發育然後再取卵,可以多一次取卵,多一份機會,女性的月經週期分為卵泡期和黃體期,一般的促排方案都是在卵泡期...

一笑千金少
10-29
黃體期促排方案大揭祕,凍胚移植時間一目瞭然!
試管嬰兒促排是非常重要的一個環節,其中包括長方案、短方案、超長方案、超短方案、拮抗劑方案、微刺激方案、自然週期方案、黃體期方案等。很多人可能對黃體期方案有一些瞭解,但並不知道什麼時候移植,下面就給大家詳細介紹一下黃體期移植時間安排。黃體期方案移植的時間安排試管黃體期方案大概什麼時候移植是沒有一個確定的時間的,具體的時間會根據女性自身情況的不同會做出相應的調整,提前或是延後。一般在黃體期方案促排取卵...

無腸公子
07-07
高齡促排選黃體取卵數量沒有十顆也有八顆!
在試管嬰兒流程中,若是女方取卵效果不是很理想,醫生會建議患者採用黃體期方案來獲得更多的成熟卵子,從而間接提升大家做試管的成功率。那麼黃體期方案一般能取到多少卵子呢?本文結合各位寶媽的真實經驗為大家揭祕。黃體期方案的取卵數量黃體期方案一般可取到5-10個卵子,但具體情況因人而異。一般來說,試管嬰兒取卵的數量和女性患者的卵巢功能有很大關係,卵巢功能越好,甚至一次性可以取出20-30個卵子。如果女性年齡...

七彩雲彩
07-07
試管極速版!五分鐘讓你瞭解黃體期促排用藥方案及流程
在卵泡期促排卵方案在臨床運用後,黃體期促排是卵巢儲備低女性的又一“救命稻草”。但是,黃體期方案與卵泡期促排卵方案有一定的不同,不僅時間上不同,用藥也有所不同。那麼,在黃體期方案中要如何用藥?下面來詳細瞭解一下。試管黃體期方案的用藥流程黃體期促排方案,即自然週期或者微刺激方案的患者在取卵後,繼續服用克羅米芬(或來曲唑)及注射人絕經期促性腺激素(HMG)使小卵泡繼續發育成熟,隨之行第二次取卵的方法,稱...

推理之絆
07-07
高齡促排新選擇——黃體期方案,你瞭解多少?
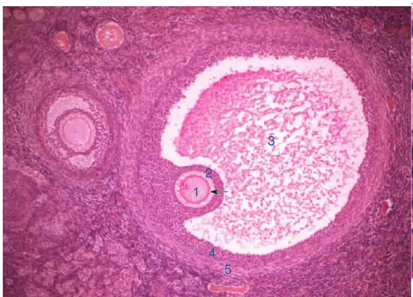
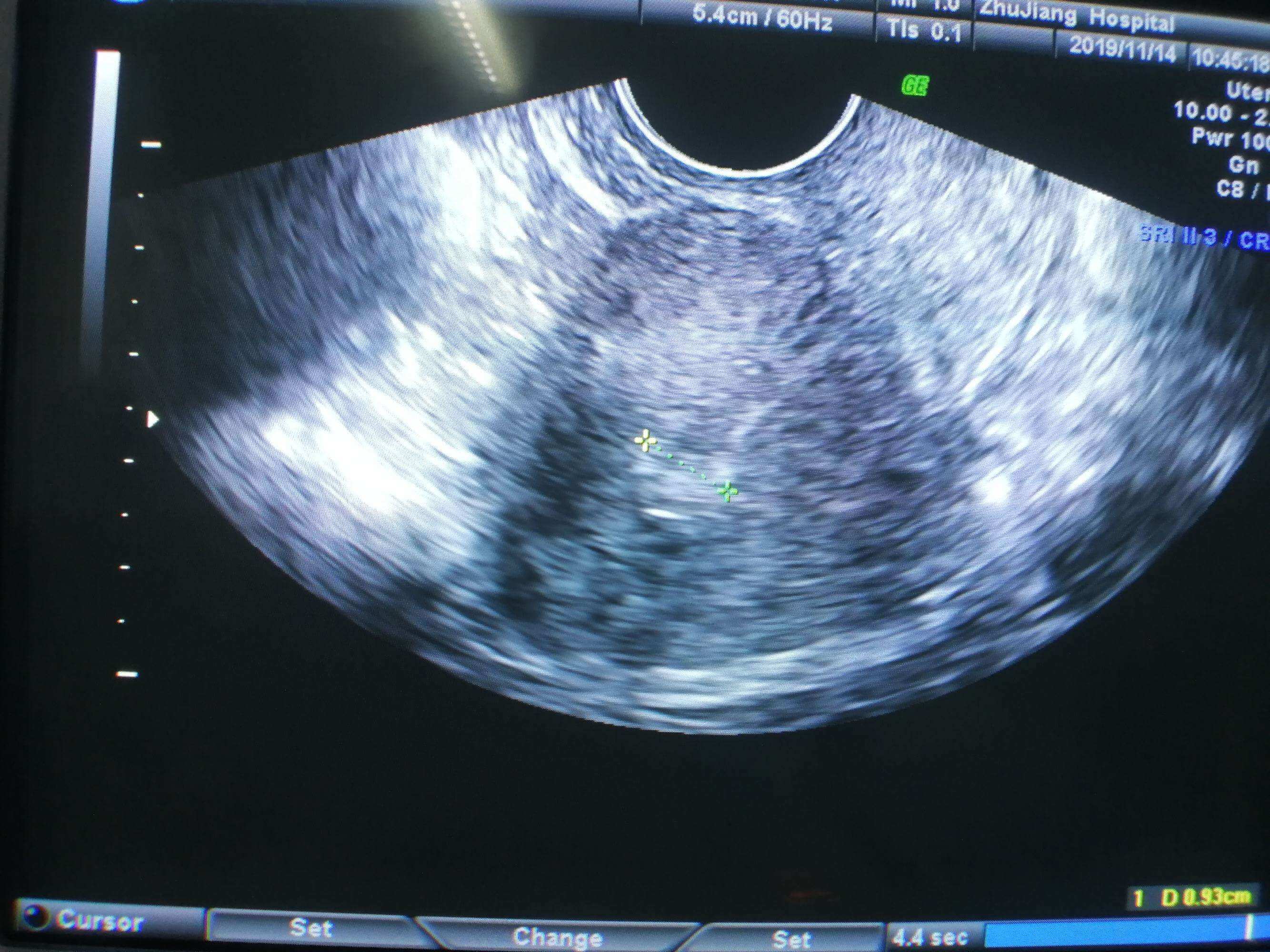
黃體期方案是什麼很多試管嬰兒患者並不知曉,其實隨著卵泡發育波理論的提出,然後在臨床上也就出現在卵泡波進行促排卵,這就是試管嬰兒黃體期方案最初出現的情況,為不孕不育患者重新打開了嶄新的促排思路。黃體期促排卵方案的基本情況B超是促排方案都少不了的,黃體期促排卵方案通過B超明確排卵或取卵術後3天左右開始,當卵泡直徑小於等於10mm的時候開始促排給藥用藥,當卵泡發育大於17mm的時候開始進行絨促性素扳機,...

渭城朝雨
07-07