女性在試管移植囊胚之後,有可能會出現血值增長慢、發生宮外孕的情況,但是這種情況發生機率比較低,出現這種情況的患者也不是很多,因為在試管移植過程中,是將囊胚放入宮腔,所以著床在輸卵管上的機率比較低,另外,建議女性在囊胚之後定期進行各項檢查,如果發生宮外孕,需要及時處理。

囊胚的質量比較好,著床比較快,移植成功率也比較高,但是在囊胚移植後不一定會著床在子宮內膜上,也有可能會著床在輸卵管內,形成宮外孕,一般來說,在發生宮外孕之後都會出現相應症狀,比如血值增長慢、陰道異常出血、小腹疼痛等,但是發生異位妊娠、血值增長異常的該比較低。
一般來說,正常生育發生宮外孕的機率一般在1.2%-1.4%左右,而試管嬰兒技術與正常生育不同,發生宮外孕的機率也會增加,一般在2~4%之間,所以移植囊胚之後也有可能會出現宮外孕,但是由於囊胚發育比較完善,並且大多會直接著床在內膜上,所以出現移植後血值翻倍低、宮外孕的患者也比較少。
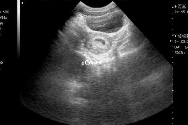
如果想要在試管移植之後避免囊胚著床在輸卵內,最好是在囊胚移植前進行雙側輸卵管切除手術或者雙側輸卵管結紮術,可以降低宮外孕的發生機率,另外,在移植囊胚之後還需要定期去醫院接受檢查,在移植四周到五週左右就可以利用B超檢查出是否存在宮外孕的可能。
基本資訊來自醫院官網或醫院內公示資訊或醫生本人提供,如有侵權,請按照平臺提供的渠道通知