
始基子宮無宮腔,無子宮內膜,即使有卵巢也是無法自己生育孩子的,孕育孩子需要子宮,所以通常蘭州婦幼醫生建議始基子宮有卵巢的患者可以去嘗試移植子宮,然後來懷孕生孩子,或者是去國外通過第三方輔助生殖生子,就是先通過試管嬰兒技術取卵,進行體外受精,將胚胎移植到第三方的子宮內來幫助完成生小孩的目的。

24歲始基子宮女性服用激素後發育可能性探討
實際上子宮是否能重新發育,是要看患者的年齡,如果年齡比較小的話,是有可能繼續發育的。如果女性的青春期已經過了,或者是已經成年的話,那子宮就不會再發育了。始基子宮屬於先天性子宮發育不良,一般情況下不會來月經,也不會自然受孕,一般情況下24歲就不能夠再發育了,因此服用雌激素也沒有多大的效果了,子宮也沒有再次發育的可能。一般來說,建議在臨床上最佳的治療年齡在16-18歲,因為這個年齡階段,身體發育是最高...

枕著永遠入眠
04-13
17歲是否是始基子宮治療的黃金年齡?專業解答
始基子宮的患者,一般臨床上建議的最佳的治療年齡是在16-18歲,因為這個年齡階段,身體發育是最高峰的時期。手術恢復的時間相對會比較短,效果也好,來月經和正常生育的希望都會增加。在臨床上多采用子宮融合手術,是近年來開展的一項新型手術,建議做相應的諮詢,因為在國內只有較大的知名醫院才能做該項手術。手術的時間會比較長,需要2個小時左右才能完成手術,並且在手術之前要做全身的檢查瞭解身體的情況,才能決定是否...

霸王愛人
04-03
先天性始基子宮女性卵巢排卵情況解析
始基子宮卵巢也是可以正常排卵的,一般發育也是比較正常的,只是要跟別人的子宮有些不同,可以正常週期性的進行排卵,如果是比較嚴重性的生殖器肌瘤,子宮面積比較小,沒有出現排卵後受孕的情況。因此也不會有周期性的子宮內膜的剝脫而產生的月經。始基子宮是指子宮極小,多數沒有宮腔或者僅僅是一個實體的畸形子宮。始基子宮對女性最大的影響就是不來月經和無法生育:無月經來潮:始基子宮女性由於子宮未完成正常的融合與發育,沒...

我有一頭小毛驢
03-30
始基子宮與試管嬰兒:可行性及成功率探討
據瞭解,在我國始基子宮女性不能做試管嬰兒。所謂始基子宮是指子宮完全沒有發育成正常狀態,僅有條索狀肌肉結構,無正常空腔,該情況相當於沒有子宮,無法懷孕。雖然始基子宮患者卵巢發育、排卵並無異常。但就算是做試管嬰兒的話,始基子宮的內膜以及體內激素水平,都不適合受精卵在宮腔內繼續發育的,所以會很難成功的。懷孕的三大關鍵包含精子、卵子以及子宮環境。因為做試管嬰兒,女方只要通過促排卵,男方取精,再進行體外受精...

郭學習
03-29
10歲女孩始基子宮確診方法:B超檢查是否足夠?
通過做B超檢查是能確認10歲的兒童是否存在始基子宮的。在超聲檢查下面會發現有始基子宮的影像,顯示子宮一般只有1~3cm,似一條索狀,無宮腔波。始基子宮又稱痕跡子宮,屬發育異常,始基子宮由於沒有宮腔、沒有子宮內膜,自然不會有月經來潮。如果家長還不放心的話,可以帶孩子做電子陰道鏡,腔內四維彩超,染色體分析和電化學發光法內分泌檢測都可確診。同時,10歲兒童始如果確診為始基子宮後面通過治療也是會有希望重新...

水果籃子
03-24
先天性始基子宮手術治療成功率解析,附具體概率說明
始基子宮是先天性子宮發育異常中的一種,病因尚未明確,可能與基因有關,但目前始基子宮沒有能完全治療好的方案,所以沒有治療好的機率,最好的辦法發現就開始治療,可在醫生指導下服用孕激素、黃體酮等藥物進行調理,或者進行手術治療,可採取陰道成形術、進行內膜移植術,費用大概需要5~6萬元。始基子宮屬於先天性子宮發育不良,它是由兩側副中腎管相遇後不久發育停止引起的,常與無陰道、極小的子宮、無子宮腔和無子宮內膜組...

高亞琴
03-05
始基子宮無內膜但卵巢正常者赴美試管嬰兒指南
通常情況下,若是有女性在檢查後發現自己是始基子宮患者,並且宮腔內沒有內膜,但是卵巢功能正常的話,是沒有辦法自然受孕生孩子的,若是想到美國做試管嬰兒生育的話,一般也是不可以的,因為此類患者的子宮體較小,無法滿足胎兒的生長髮育。始基子宮是子宮發育異常的一種,在醫學上又被稱為是痕跡子宮,常合併沒有陰道,子宮極小,部分患者還會沒有內膜,一般出現這種情況的話,通常就意味著該患者已經失去了生育能力,目前醫學上...

樂活女王
03-01
始基子宮卵巢正常女性取卵及試管嬰兒全攻略
一般情況下,若是有女性在經過醫院的檢查後發現自己的卵巢功能正常,但是子宮比較小,屬於始基子宮的話,一般是可以通過腹部取卵的方式在卵巢內拿到卵子的,但是由於子宮存在異常情況,是畸形的,所以一般都是沒有生育能力的,沒有辦法做試管嬰兒生子。始基子宮是先天性子宮畸形的一種,一般是在胎兒的發育時期,生殖器官與腎管匯合之後就停止發育了,出現這種情況一般說明患者只有子宮的形狀,但是在子宮中沒有宮腔,是沒有辦法生...

羽扇綸巾談笑間
03-01
全國範圍內治療16歲先天性始基子宮最權威醫院推薦
國內目前治療先天性始基子宮的最權威醫院是北京協和醫院,與其同規格也還有北醫三院、山大生殖以及中信湘雅等醫院,雖然大多數醫院對於始基子宮都有一定的改善能力,但是跟北京協和一類的具有對患者生殖道畸形的診療技術以及理論水平都極高的醫院來說還是要差一些,因此可以嘗試到北京協和醫院就診,在這裡,十六歲的先天始基子宮患者仍然可以改善。醫院資訊醫院名稱北京協和醫院成立時間1921年醫院類別綜合醫院醫院等級三甲醫...

高地折耳貓
02-28
始基子宮有陰道女性懷孕問題全面解析
照目前的醫療水平來看,始基子宮的患者是不可能懷孕的,始基子宮是屬於比較嚴重的生殖器畸形,這是先天性疾病,雖然有的始基子宮患者有陰道可以有性生活,但由於子宮很小,沒有子宮腔,胎兒沒有成長的地方,所以也沒有辦法懷孕。對於這種情況,目前是沒有辦法進行治療的,也不可能做試管嬰兒等。所以基本上就是終生不能生育。患有始基子宮的女性一般是不具備生育的條件的,但可以通過去國外利用第三方輔助來孕育自己的孩子。第三方...

福娃迎迎
02-23
始基子宮患者生育疑問:有卵子能否懷孕?
始基子宮有兩種情況,一種是有子宮有卵巢無陰道,這種是正常卵子在卵巢有發育但是卵泡無法排出,雖然無法正常懷孕但是做試管嬰兒時可以不需要供卵,利用自身的健康卵子試管即可。還有一種是無子宮無陰道,這類患者是沒有生育能力的,無法正常排卵,也不具備取卵條件。卵子在試管嬰兒手術中非常重要,如果沒與取得卵子,那麼患者這個療程將是以失敗告終,而對於始基子宮這種特殊不孕不育病症來說有卵嗎,如伴有無月經那麼患者多無成...

一枝花香水
02-21
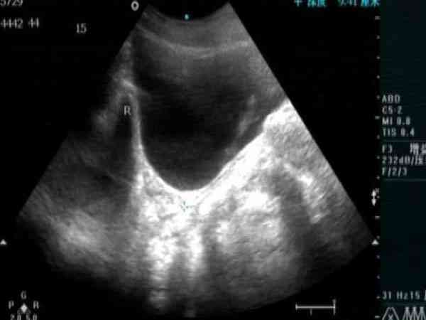
女性始基子宮超聲診斷標準詳解,60%的女性都不知曉
始基子宮又稱痕跡子宮。在胎兒發育時期,女性生殖器官由兩側副中腎管匯合而來,始基子宮系兩側副中腎管匯合後不久即停止發育所致,常合併無陰道。這種子宮極小,僅1~3釐米長,多無宮腔、無子宮內膜,無月經來潮。陰道四維彩超,可以清晰地看到始基子宮的影像,始基子宮很小,似一條索狀,無宮腔波。始基子宮由於沒有宮腔、沒有子宮內膜,不會有月經來潮。始基子宮的診斷可依靠電子陰道鏡,腔內四維彩超,染色體分析和電化學發光...

洪燕華
02-21