
特納症的人給人一種長得很漂亮的錯覺,但特納症的人身高一般並不會超過1米5,伴隨青春期乳房不發育、面板過度摺疊和腳背或者手部會出現水腫等情形,屬於染色體疾病,大多數與基因有關,具有遺傳性。

一胎孩子患特納綜合徵生二胎正常機率大,是否會自己好來瞧
一胎孩子有特納症生的二胎一般都是比較正常的。因為特納症是一種偶然性的染色體突變,如果在孕前和懷孕期間,都定期進行了身體檢查,那麼二胎患上特納症並被生下來的概率是很低的。一旦發現胎兒發生這種情況通常都是被流產了的,所以女性朋友不用太過擔心。在胎兒發育過程中出現染色體異常是很常見的現象,佔到早期流產原因的一般以上,其中有20%都患有特納症,並且特納症通常會導致胎兒出現發育異常、身材瘦小、智商低下等表現...

亮麗家園
07-11
特納症試管生男孩不是夢,一文告訴你怎麼喜得貴子
特納綜合徵又稱先天性卵巢發育不良,它是一種性染色體全部或部分缺失引起的先天性疾病,大多數患有特納綜合症女性智力正常,普遍存在發育遲緩、語言學習障礙和行為問題,那麼特納綜合徵試管可以生男孩嗎?下文對此進行了解答。特納症試管生男孩解讀從技術上來說,試管嬰兒是可以選擇生男孩或生女孩的,所以特納綜合徵患者可以通過試管技術生男孩,但是在試管選擇胚胎前需要滿足相應的條件才行。如患者患有某些特殊的遺傳性疾病會選...

周玉玲
07-05
特納綜合徵也會有春天,試管助孕實現生育夢
16歲的曦曦(化名)女,雖是花季的年齡,但看起來要比同齡人矮小,讓媽媽緊張的是曦曦的乳房竟然沒有一點隆起。就醫時,發現曦曦竟然患了一種叫做“特納綜合徵”的疾病,醫生說可能會影響生育,那麼特納綜合徵患者能否成功懷孕呢?特納綜合徵的生育困境患有特納氏綜合徵疾病人群多數不能自然生育,但存在少部分症狀較輕的女性,可以自然生育。臨床通常表現為原發性閉經,且第二性徵發育較差,能否生育要根據具體情況來判斷:1、...

白雪公主
07-03
特納綜合徵備孕記錄篇,廣西醫科大一附院試管助孕無果的辛酸淚
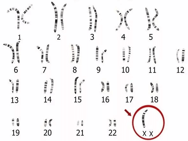
今天隨便寫寫我的個人備孕記錄,希望沾沾喜氣,能順利有一個屬於我們的寶寶。其實上週就拿到了產前診斷中心的染色體檢查報告了,染色體結果是45,X[4]/46,XX[56],建議遺傳諮詢。這是我沒料到的,我和老公雙方看似都很正常,家族史都沒有任何遺傳性疾病,去做遺傳篩查,僅僅是因為老公認識一個市婦幼保健院遺傳學方面的專家,她建議我們孕前有必要去做一下這方面的檢查。反正做孕檢很多專案都需要抽血,我們順便就...

郭安迪
07-03
特納綜合症別盲目試管,做好準備成功率才喜人
黃女士從小就知道自己患有特納綜合徵,雖然很不幸,但還是幸運的活下來了,由於這個病黃女士沒辦法自然懷孕現在黃女士想生一個自己的孩子,就想到去做試管,黃女士聽說這種病的人做試管有40%的成功率,這是真的嗎?特納綜合徵試管成功率特納氏綜合徵女性患者相對普通人做試管嬰兒成功率要低很多,一般在45%-60%之間。並且有50%左右的患者會因子宮問題發生自然流產,孕期和圍產期孕婦發生併發症的風險也較高。尤其是孕...

趙圓媛
07-02